Cabinet des Drs BENKIMOUN,
LAFONT et ROUSSARIE
Orthodontistes à Bourg la Reine

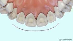
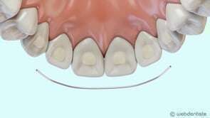
Fil de contention


video-play-icon