Cabinet des Drs BENKIMOUN,
LAFONT et ROUSSARIE
Orthodontistes à Bourg la Reine

Vidéos 3D - Page 10

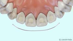
Fil de contention

Fil de contention

Protocole de dévitalisation d'une dent ou traitement endodontique

Protocole de dévitalisation d'une dent ou traitement endodontique

Parodontite et formation de la poche parodontale

Parodontite et formation de la poche parodontale

Orthodontie : idées reçues, idées revues

Orthodontie : idées reçues, idées revues

L'hygiène en orthodontie

L'hygiène en orthodontie

Traitement orthodontique : les règles du succès

Traitement orthodontique : les règles du succès

Affichage des articles 55-60 sur 60